iac bone anatomy

Facial nerve anatomy - labeled CT | Image | Radiopaedia.org we have 8 Images about Facial nerve anatomy - labeled CT | Image | Radiopaedia.org like IMAGING OF TEMPORAL BONE, Intracranial cavity (extra axial): Posterior cranial fossa:Internal and also Anatomia Rocca TC - CT temporal bone anatomy. Here it is:

Facial Nerve Anatomy - Labeled CT | Image | Radiopaedia.org

Facial nerve anatomy - labeled CT | Image | Radiopaedia.org www.radiopaedia.org

nerve facial ct anatomy bone radiopaedia axial labeled window

Intracranial Cavity (extra Axial): Posterior Cranial Fossa:Internal

Intracranial cavity (extra axial): Posterior cranial fossa:Internal ranzcrpart1.fandom.com

meatus internal auditory cranial posterior fossa intracranial vii viii cn facial extra axial cavity wikia

Acoustic Schwannoma : Intracanalicular | Image | Radiopaedia.org

Acoustic schwannoma : intracanalicular | Image | Radiopaedia.org radiopaedia.org

acoustic schwannoma intracanalicular mri t2 radiopaedia version

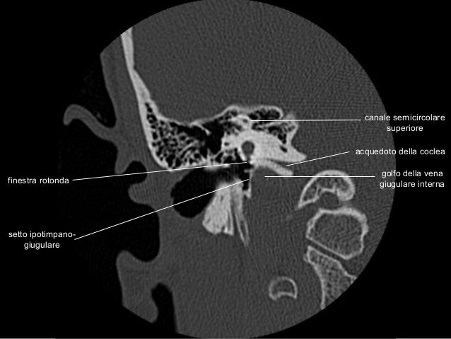
Anatomia Rocca TC - CT Temporal Bone Anatomy

Anatomia Rocca TC - CT temporal bone anatomy www.slideshare.net

temporal rocca giugulare

Presentation1.pptx, Radiological Anatomy Of The Orbits, Pns And Petro…

Presentation1.pptx, radiological anatomy of the orbits, pns and petro… www.slideshare.net

petrous pns orbits radiological presentation1 pptx

MRI SECTIONAL ANATOMY OF BRAIN

MRI SECTIONAL ANATOMY OF BRAIN www.slideshare.net

sylvian fissure sinus lobe lesions artery lobes foramen sagittal occipital ventricle carotid cortex

IMAGING OF TEMPORAL BONE

IMAGING OF TEMPORAL BONE www.slideshare.net

coronal canal superior semicircular plane genu

Anatomia Rocca TC - CT Temporal Bone Anatomy

Anatomia Rocca TC - CT temporal bone anatomy www.slideshare.net

rocca ovale

Rocca ovale. Imaging of temporal bone. Nerve facial ct anatomy bone radiopaedia axial labeled window